Hola restauradores, desde hace tiempo he querido compartirles mi historia con el cáncer testicular que quizás se salga un poco del tema de la restauración pero considero que es igual de importante darle difusión, pues se trata de un asunto que nos debería de importar a todos los hombres, sean circuncidados o intactos. Esta es mi historia personal y la había publicado originalmente en mi blog personal, pero quise hacerlo también aquí porque probablemente pueda salvar la vida de alguien más gracias a la detección oportuna del cáncer testicular. Acá se los dejo y no olviden en dejarme sus comentarios abajo, que con gusto responderé sus dudas e inquietudes.
Dan
Escrito el 2 de octubre del 2018.
La raya que marcó al tigre: una historia sobre el cáncer testicular
Muy pocas personas conocen esta historia y la verdadera razón por la que me operaron… Lo sé, mi introducción carece completamente de contexto, pero a veces así se cuentan las historias, empezando por la mitad, después el final y por último el inicio. La verdad es que últimamente me he sentido con la necesidad de gritarlo a los 4 vientos y quiero aprovechar este espacio para hacerlo. Gritar ensordecidamente donde quizás pocos de los que me conocen lleguen a encontrar la verdad: hace un mes me diagnosticaron cáncer testicular.
Mi primer diagnóstico
Todo comenzó hace 5 años (abril del 2013) cuando por autoexploración me detecté una bolita en mi testículo izquierdo. Siendo hipocondríaco por excelencia, me alteré en exceso y decidí ir a un urólogo particular para que me hicieran los estudios pertinentes y descartar cualquier problema médico. En esa primera aproximación, el médico sólo me dijo que era una infección en el epidídimo y que con ciprofloxacino se me quitaría en unas 6 semanas. Pasaron las 6 semanas y la bolita seguía ahí, pero ahora acompañada de dolor. Dolor al sentarme, dolor cuando las bolas chocaban entre sí, dolor e incomodidad que lo único que provocaban era preocuparme más.
Decidí atenderme directamente en el IMSS (el sistema médico mexicano) para que me hicieran un historial clínico y me canalizaran al área de urología donde me harían ultrasonidos y mis primeros marcadores tumorales… ya todos sabemos que el imss no se caracteriza por ser muy eficiente, por lo que me terminaron atendiendo hasta por enero del 2014. El diagnóstico: microlitiasis… ¿pero qué es la microlitiasis? “Piedritas” -me decían los médicos-, pero no como las de los riñones, estas son calcificaciones que se forman en las paredes del testículo pero son muy normales en hombres de tu edad (en ese entonces yo tenía 28 años), por lo que no deberías de preocuparte, estas piedritas aparecen y desaparecen con el tiempo y ¡zas! me dieron de alta… No quedé muy convencido y decidí continuar mi chequeo testicular cada 6 meses por mi propia cuenta.
El segundo diagnóstico
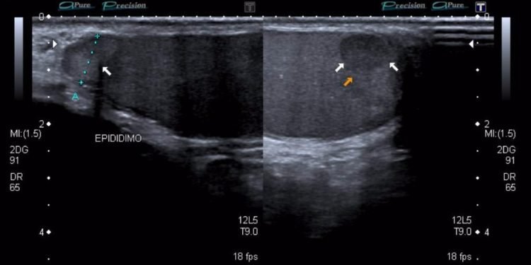
En mayo del 2016, el chequeo semestral mostraba que algo había cambiado: apareció una sombra ovalada hacia el interior del testículo y tenía un diámetro de 6 mm. El ultrasonido no fue concluyente, solo se describía como una estructura hipoecóica de 6 mm de diámetro.

A raíz de este resultado me mandaron a hacer una biopsia en el Hospital de Especialidades de Picacho. La peor experiencia de toda mi vida: me estuvieron picoteando el testículo sin otra anestesia más que lidocaína, que sólo anestesiaba el piquete en el escroto, pero los piquetes en el testículo me hacían gritar y retorcerme de dolor… entonces en ese hospital no son especialistas, si ni anestesia me pusieron. El resultado de la biopsia: negativa a tumor maligno; se clasificó como orquitis, es decir, una inflamación testicular. El tratamiento: sumergir los testículos en un vaso con agua y hielo cada vez que hubiera molestia, porque el frío es bueno para los testículos -eso me dijo el urólogo-. ¿Funciona? Sí, calma la molestia, pero claramente no era la solución definitiva.
Continué con mis chequeos semestrales y dos años después sabría que la manipulación que se hizo con la biopsia sólo había despertado al monstruo. Las molestias se incrementaron, pero los marcadores tumorales (los análisis de sangre) se mostraban siempre en valores normales: alfafetoproteínas normal, deshidrogenasa láctica normal, gonadotropina coriónica fracción beta normal (los valores de esta última en mujeres es indicador de embarazo, pero en hombres es indicador de cáncer testicular). Todos los análisis de sangre normales, siempre normales y siempre fueron normales incluso hasta los análisis preoperatorios de 3 días antes de la cirugía, pero el ultrasonido no era tan normal, la estructura hipoecóica había ido aumentando de tamaño de 6 a 7 y luego a 9 en octubre del 2017. Mi epidídimo comenzó a aumentar de tamaño, pero es normal, -me decía el urólogo-, debe tratarse de un proceso inflamatorio y me recetaba ceftriaxona para tratar la inflamación como una posible infección de vías urinarias; mientras los análisis de sangre sigan dando normales, no deberíamos de preocuparnos.
La cirugía
11 Julio del 2018: los marcadores tumorales salen normales, pero el ultrasonido indica que el tumor mide 11 mm y está vascularizado. Eso está muy raro, y si mejor ¿ya lo quitamos? -me dice el urólogo-. Mi respuesta: hace 2 años le pedí que me lo quitara y usted me dijo que no, porque era muy joven y aún no tenía hijos. El urólogo me estaba dando tiempo para tener hijos antes de querer quitarme un testículo por un posible tumor testicular. Me programan para estudios preoperatorios y el 31 de julio a las 7pm entro a quirófano donde me practicarían una orquiectomía radical izquierda, es decir, me quitarían el testículo izquierdo.
Fueron 28 días de incapacidad laboral que me mantuvieron en reposo y ante la expectativa de mis compañeros de trabajo, conocidos y otros amigos, a los que les tuve que decir que me habían operado de una hernia por cargar tanto en el gimnasio. Durante este tiempo de incapacidad, publiqué una foto en mi instagram titulada “Una raya más al tigre” en la que mostraba mi cicatriz de la cirugía antes de que me quitaran los puntos y fue del título de esa foto que tomé la idea para titular esta historia.
Otro dato curioso: muchas personas creen que una cirugía como la que me practicaron tendrían que haber cortado por el escroto para remover el testículo, pero no, en realidad lo hacen a través del canal inguinal, el cual es un conducto que tenemos los hombres en la ingle y que desemboca en el escroto; y no solo cortan el testículo, sino todo el conducto espermático, el cual puede medir hasta 30 cm (más o menos hasta donde tengo la estrella más grande de mi tatuaje). Es muy riesgoso cortar en el escroto dado que es un tipo de piel que se contrae y se expande constantemente, lo cual complicaría la cicatrización.
Los resultados de patología
Los resultados de patología tardaron mes y medio en estar listos. Cuando me avisan que ya puedo pasar a ver a la patóloga para recoger mis resultados, yo tenía un mal presentimiento y lo postergué 3 días más ante la negatividad por recibir una mala noticia. Mi presentimiento y el temor resultaron estar fundamentados. El resultado de patología: seminoma clásico en estadío 1, es decir, cáncer testicular en fase 1. El cáncer estaba bien delimitado, encapsulado, ubicado en una posición en la que la posibilidad de haberse diseminado era escasa. La patóloga nos explicó todo con lujo de detalles e incluso me mostró mi testículo extirpado (fue interesante pero me dio un poco de asco) y el tumor para descubrir otra sorpresa: el tamaño real del tumor era de más del doble de lo que se veía en el ultrasonido, 26 mm. Conclusión de patología: este tipo de cáncer es indetectable por los marcadores tumorales y por la posición en la que se encontraba, el ultrasonido no alcanzaba a verlo en su totalidad. La extirpación total del testículo fue el mejor tratamiento contra el cáncer testicular que pude recibir, pues me lo quitaron por completo.
El protocolo de detección de cáncer indica que se deben hacer más estudios para detectar la posibilidad de que el cáncer pudiera haberse propagado: rayos X, más marcadores tumorales, niveles de transaminasas, tomografía de abdomen computarizado, exámenes de orina y todo un repertorio de análisis que me hicieron, por si acaso. Afortunadamente, todo salió negativo y la tomografía no mostró presencia de tener más cáncer en mis órganos vitales. Me explicaron que el cáncer testicular es muy común que se desplace a los pulmones y al cerebro; no apareció nada, pero podría reaparecer y ahora me estarán haciendo estos estudios durante los próximos 5 años para mantener una vigilancia constante de mi condición.
Viviendo con un testículo después del cáncer testicular
A todos les debe de preocupar perder cualquier órgano o parte del cuerpo, pues no sabes si tu vida cambiará radicalmente o si necesites ahora otro tipo de cuidados o tratamientos. Cuando le pregunté a mi médico acerca de cómo sería mi vida después de la cirugía solo me dijo que no habría cambios pues para eso tenía el otro, quien se encargaría de todo el trabajo y ahora solo era cuestión de cuidarlo. Hasta la fecha no he notado cambios hormonales aparentes por la deficiencia de testosterona y mi producción de semen se ha mantenido prácticamente igual.
El único cambio que si he identificado fue que mi testículo ha aumentado de tamaño cerca de un 60%; eso lo sé porque se nota a simple vista y porque tomé las medidas de antes de la cirugía. Mi médico me dijo que era completamente normal, ya que en ausencia del testículo izquierdo, el restante tiene que trabajar el doble y eso implica tener que aumentar de tamaño… maravillas de la naturaleza.

La autoexploración salva vidas
Perdí un testículo pero gané otra oportunidad de vivir. Después de esta experiencia y de que un querido amigo falleció hace unos meses, aprendí que la vida es fugaz y así como un día estás bien, al otro podrías estar mal o muerto. Yo no creo en Dios, ni en el cielo, ni en la reencarnación. La vida es ahora y muy pocas veces te da segundas oportunidades.
Chicos: hay que autoexplorarse, yo sé lo que les digo y es muy fácil hacerlo. Salven sus vidas del cáncer testicular. A continuación se los explico en 3 sencillos pasos:
- Lo ideal es hacerlo después de tomar un baño de agua caliente, pues el calor facilita la manipulación de los testículos.
- Comienza con el primer testículo sujetándolo con una mano y con la otra presionando ligeramente la superficie del testículo en busca de bultos que podrían ser del tamaño de un grano de arroz o hasta de un chícharo o guisante. La superficie del testículo es lisa, por lo que no deberían de encontrar ningún abultamiento de estas dimensiones. Después revisa el otro testículo.

- Familiarízate con la estructura de tus testículos: los testículos también cuentan con una estructura llamada epidídimo que es de forma alargada y que se localiza en la parte trasera de cada testículo, la vas a sentir como algo esponjoso, no debe doler si lo presionas ligeramente. También está el conducto espermático, que son los conductos que conectan al testículo con el interior de tu cuerpo y se sienten como ramificaciones que caen desde tu ingle hasta el epidídimo. Ambos debes sentirlos de forma suave y sin protuberancias ni de sensación dura.
Autoexplórate por lo menos una vez al mes y si llegas a detectar algún cambio como una protuberancia, inflamación o dolor, lo ideal es que acudas al urólogo, quien te revisará físicamente y en caso de encontrar algo anormal, te podría recetar algún medicamento y solicitar que te realices un ultrasonido testicular para salir de dudas.
Si te gustó este artículo, invítame un café para poder seguir generando contenidos como este. Puedes hacerlo mediante una donación simbólica al presionar el siguiente botón:
¿Ya formas parte del Boletín de Restauradores?
Sé de los primeros en enterarte de las últimas noticias de Restaurándome por correo electrónico.




































Discussion about this post